До и после

Реставрація
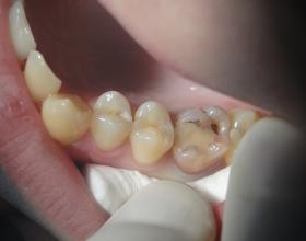
Лікування карієсу фотополімерними пломбами
  • До
  • Процес
  • Після
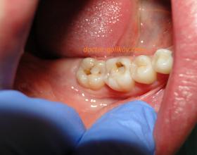
Лікування карієсу фотополімерними пломбами
  • До
  • Після
Лікування карієсу фотополімерними пломбами
  • До
  • Після
Лікування карієсу фотополімерними пломбами
  • Лікування карієсу постійних зубів у дітей
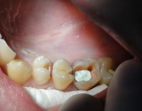
Лікування карієсу фотополімерними пломбами
  • До
  • Процес
  • Процес
  • Після
Лечение клиновидного деффекта 44 зуба
  • До лечения
  • После лечения: фотополимерная пломба
Реставрация 26 зуба
  • До лечения
  • После постановки фотополимерной пломбы
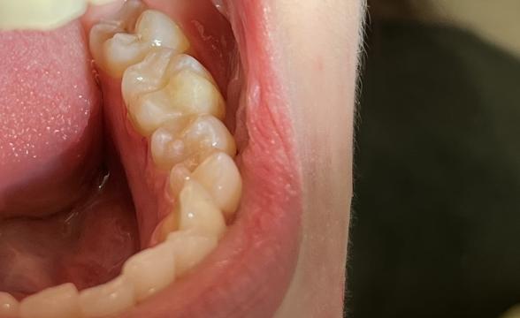
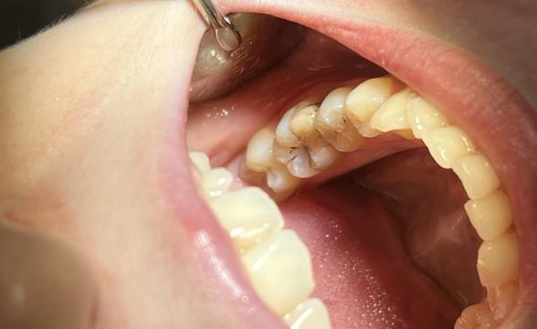
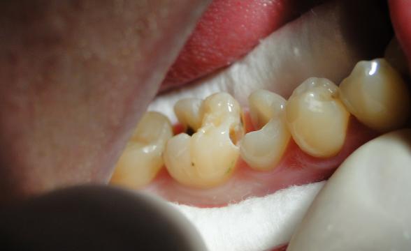
Реставрация 46,47 зубов фотополимерными пломбами
  • До лечения: кариес под пломбами в 46, 47 зубах
  • Отпрепарированные разрушенные кариесом твердые ткани зуба
  • Зубы после лечения: фотополимерными пломбами
  • Зубы после лечения: фотополимерными пломбами
Прямая реставрация. Фотополимерная пломба правого нижнего клыка (43 зуб).
  • До лечения
  • После лечения: постановка фотополимерной пломбы 43 зуба
Клиновидный дефект
  • Клиновидный дефект ДО
  • Клиновидный дефект ПОСЛЕ
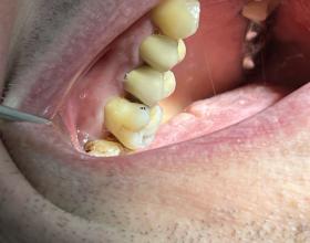
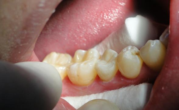
Лечение глубокого кариеса
Лечение зубов нижней челюсти
  • Зубы с полостями
  • Вылеченные отреставрированные зубы
Лечение жевательного зуба
  • Разрушенный зуб
  • Зуб после лечения и реставрации
Записывайтесь на прием прямо сейчас
и восстанавливайте красоту и здоровье ваших зубов с высоким качеством работы по доступной цене!