До и после

Вініри — не привід забувати про гігієну
Перевтілення посмішки!
  • До
  • Після
Відбілювання Нижніх Зубів
Професійне Відбілювання Зубів
  • До
  • Процес
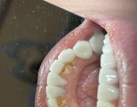
Професійна гігієна ротової порожнини
  • Стан зубів До
  • Стан зубів Після
Професійна гігієна ротової порожнини
  • До
  • Усуненний зубний наліт та зубний камінь
Професійна гігієна ротової порожнини
  • Нагадуємо про важливість професійної чистки раз на пів року
  • Зняття зубних відкладень
Професійна гігієна ротової порожнини
  • Нагадуємо про важливість професійної чистки раз на пів року
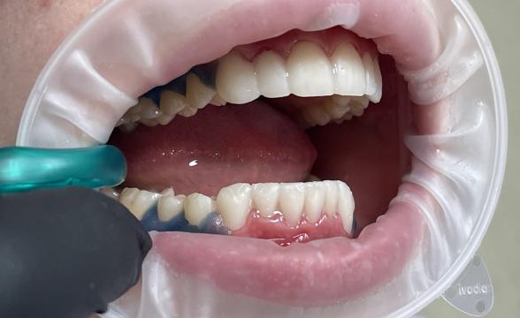
  • Комплекс професійної гігієни складається із: зняття зубних каменів ультразвуком, зняття мягкого нальоту та полірування пастою.
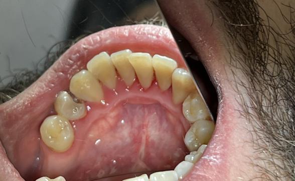
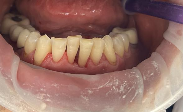
Чистка зубов нижней челюсти Ультразвуком + Air-Flow
  • До чистки зубов
  • После чистки зубов
Профессиональная Чистка зубов нижней челюсти
  • До Чистки
  • После чистки Ультразвуком, Air-Flow
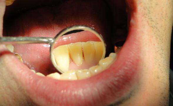
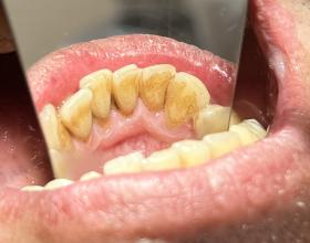
Чистка налета курильщика
  • Налет от курения с внутренне стороны зубного ряда
  • Зубы после профессиональной стоматологической чистки
Записывайтесь на прием прямо сейчас
и восстанавливайте красоту и здоровье ваших зубов с высоким качеством работы по доступной цене!